yext
Last time updated: 1/15/26, 11:13 AM
Schedules
M-F 9am-1pm, 3:30pm-6:30pm, Sa-Su Closed
Attention business owner!
Register your business now and enhance your global reach with iGlobal.
Start now!
About

Artigianato Dentale di Puglisi Angelo è un laboratorio odontotecnico altamente specializzato, che unisce l'esperienza artigianale alla più avanzata tecnologia digitale.

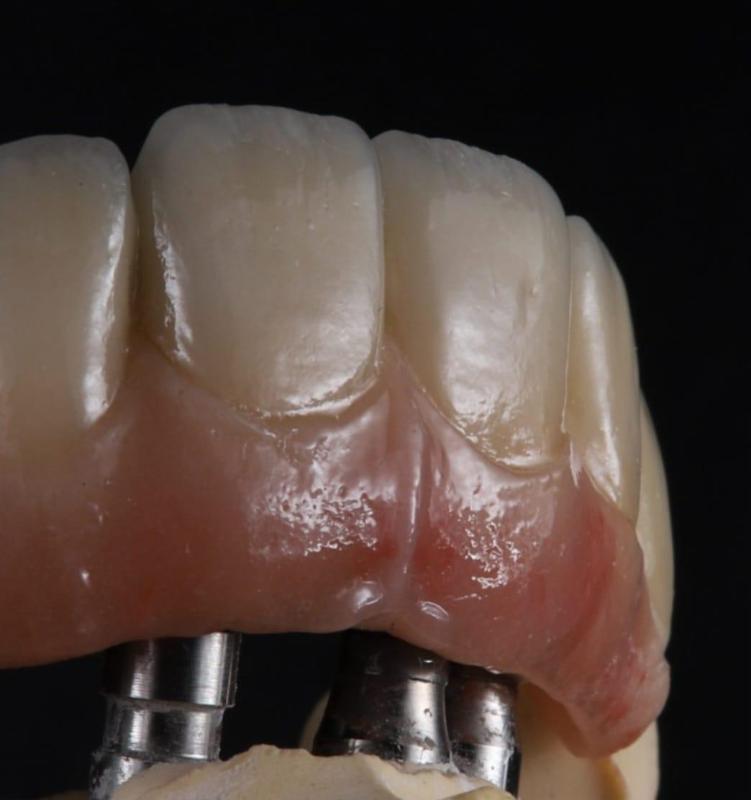
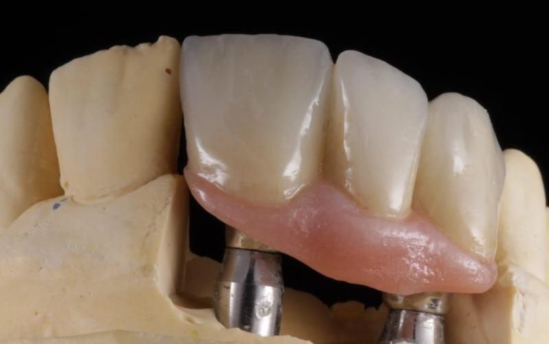
Il laboratorio si occupa della costruzione di protesi dentali di tutti i tipi, tra cui protesi fisse, mobili, faccette estetiche, e soluzioni personalizzate per il miglioramento dell'igiene e della funzionalità orale. Uno degli aspetti distintivi di Puglisi Angelo è l'integrazione delle tecnologie CAD/CAM, che permettono una progettazione precisa e la realizzazione di dispositivi odontoiatrici con estrema accuratezza. Questo approccio digitale consente di ridurre i tempi di lavorazione, aumentare la precisione dei prodotti finali e migliorare il comfort per i pazienti.

Inoltre, il laboratorio offre un servizio di assistenza tecnica continua, supportando i professionisti del settore odontoiatrico con soluzioni su misura e consulenze tecniche, assicurando che ogni esigenza venga soddisfatta con competenza e tempestività.

L'uso di queste tecnologie avanzate, unito all'esperienza artigianale e alla qualità dei materiali, rende l'attività un punto di riferimento nel settore odontotecnico, in grado di soddisfare le richieste più esigenti dei clienti e dei professionisti.

Images
Frequently Asked Questions
Which days is Artigianato Dentale open?
Open on Monday, Tuesday, Wednesday, Thursday, Friday.
Attention business owner!
Register your business now and enhance your global reach with iGlobal.
Start now!
Schedules
M-F 9am-1pm, 3:30pm-6:30pm, Sa-Su Closed
Attention business owner!
Register your business now and enhance your global reach with iGlobal.
Start now!
Copied to clipboard!